
Bildundersökningar och skanningundersökningar
Här får du lära dig mer om de olika typer av bildundersökningar och apparater du kan stöta på, vad de gör och hur man kan förbereda sig för dem.
3 minuter
Tittar på:
De inre organens hälsa.
Systemisk skleros kan påverka vissa av dina inre organ som till exempel dina lungor. Bildundersökningarna berättar för din läkare om några av dina inre organ påverkats. 1–4
Vad du kan förvänta dig:
Det finns många olika bildundersökningar och apparater. Dessa omfattar:
Ultraljud
En sensor placeras på din hud så att läkaren/sköterskan kan se, med hjälp av ljudvågor, hur saker ser ut och rör sig inuti din kropp.
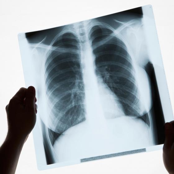
Röntgen
Skapar en bild av dina lungor för att kontrollera deras allmänna hälsa.
DT- och HRCT-undersökning
En typ av röntgen som ger en mer detaljerad bild än vad vanliga röntgenbilder kan ge. Under bildundersökningen kommer du att ligga på rygg på en plan brits som passerar genom datortomografen.
MRT-undersökning
Använder en magnet och radiovågor för att titta på organ och strukturer inuti din kropp. Du kommer att ligga på en brits som åker in i magnetkameran. Du behöver ligga still under undersökningen.
Ingen av bildundersökningarna kommer att göra ont men vissa av dem kan ta några timmar. Var beredd på att få vänta – ta med en bra bok, lyssna på musik eller ladda ner din favoritpoddsändning för att hjälpa till att fördriva tiden.
Att förstå dina resultat:
Resultaten beror på vilken undersökning som genomförs. Din läkare kan komma att använda bilderna för att jämföra med eventuella bilder som tagits tidigare.
Visste du?
DT-undersökningen används ofta för att övervaka lungornas hälsa hos människor med systemisk skleros.
Du kanske också vill läsa:
Symtom på systemisk skleros
Behandling
-
Radiological Society of North America Inc. Computed tomography. Available: https://www.radiologyinfo.org/en/submenu.cfm?pg=ctScan [Accessed May 2018].
-
Radiological Society of North America Inc. Magnetic Resonance Imaging (MRI). Available: https://www.radiologyinfo.org/en/submenu.cfm?pg=mri [Accessed May 2018].
-
Radiological Society of North America Inc. Ultrasound. Available: https://www.radiologyinfo.org/en/submenu.cfm?pg=ultrasound [Accessed May 2018].
-
Radiological Society of North America Inc. X-ray (Radiography). Available: https://www.radiologyinfo.org/en/submenu.cfm?pg=xray [Accessed May 2018].

|
|
"Försök att få så mycket information som du kan från ditt vårdteam. Ditt vårdteam har expertisen. Gör anteckningar och var inte rädd för att ställa frågor."
– Mike
